Estrutura e equipe: Paraná é referência em cirurgias de deformidade da coluna vertebral 27/01/2026 - 07:46
O sonho da Laura Dzwielewski Menegaz, de 13 anos, é poder andar a cavalo sem sentir dor. E isso está prestes a acontecer, graças ao Departamento de Deformidades Pediátricas da Coluna Vertebral do Complexo Hospitalar do Trabalhador, implantado em abril de 2023 pelo Governo do Estado, por meio da Secretaria da Saúde do Paraná.
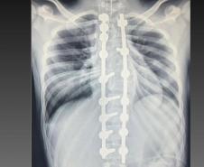
Laura era portadora de escoliose e, em agosto de 2025, realizou a cirurgia de correção da coluna, o que lhe permitirá ter uma vida normal de agora em diante. Moradora de Bom Sucesso do Sul, região Oeste do Paraná, é acostumada a andar a cavalo, mas com o problema na coluna a prática estava longe de ser prazerosa.
Após o atendimento na unidade de saúde da cidade onde reside, foi encaminhada para o Serviço de Deformidades Pediátricas da Coluna Vertebral em Curitiba, onde fez as consultas iniciais e teve a indicação para a cirurgia. Agora, Laura aguarda a alta médica para poder cavalgar e realizar outras atividades sem sentir dores.
“Qualquer coisa que eu fazia, sentia dor. Tomava remédio e parecia que não fazia muito efeito”, contou Laura. “Quando fui fazer a cirurgia, disse que não queria fazer. Hoje, eu me arrependo de ter falado, porque é uma conquista para mim, consegui ajeitar minha coluna. Estou muito realizada, fiquei até alguns centímetros mais alta e consigo fazer tudo o que eu queria”, completou.
De abril de 2023 até dezembro de 2025, foram realizadas 209 cirurgias no Departamento de Deformidades Pediátricas da Coluna Vertebral do CHT, que envolve o próprio Hospital do Trabalhador, o Ambulatório Médico de Especialidades (AME) e o Hospital de Reabilitação.
A unidade atende pacientes de todos os cantos do Paraná e até de fora do Estado. Foram atendidos pacientes do Amazonas, Acre e Rondônia, por exemplo. Atualmente, 24 aguardam a cirurgia. São realizadas entre dois e três procedimentos por semana.
Para o secretário estadual da Saúde, Beto Preto, a implantação do serviço e os investimentos realizados no Complexo Hospitalar do Trabalhador são fundamentais para dar mais qualidade de vida à população. “O Complexo Hospitalar do Trabalhador é um marco dos investimentos do Governo do Paraná nos últimos anos,marco que trouxe serviços que estão cada vez mais consolidados. Um deles é o tratamento e a cirurgia da escoliose, principalmente de adolescentes entrando na idade adulta, além do atendimento também de crianças”, disse o secretário.
“Ao longo dos últimos anos temos feito muitas cirurgias e estamos acelerando, com o apoio de uma equipe médica de altíssimo nível. Estamos atendendo os paranaenses que precisam dessas cirurgias de deformidade da coluna, que são de alta complexidade, com respeito e carinho. É um trabalho de todos nós e, em especial, do Complexo Hospitalar do Trabalhador”, destacou.
ESTRUTURA DE PONTA - O diretor-superintendente do CHT, Guilherme Graziani, destacou a importância da implantação desse serviço pela Secretaria da Saúde do Paraná. “Temos uma estrutura de ponta e profissionais altamente capacitados. Nosso objetivo é continuar ampliando esse serviço para atender cada vez mais crianças e adolescentes”, afirmou.
O médico João Elias Ferreira Braga, integrante do grupo da Coluna do Hospital do Trabalhador e responsável pela área de Deformidades Pediátricas da Coluna Vertebral do CHT, falou da referência que esse serviço se tornou para o Estado e também para o Brasil.
“O projeto iniciado em 2023 aqui no CHT já atendeu um grande número de pacientes. Hoje, são poucos os locais de referência para atendimento desses pacientes e temos toda essa estrutura aqui no Paraná. Foram mais de 200 casos operados e centenas de pacientes tratados. Tratamento que vai desde os conservadores, como exercício e fisioterapia, até o uso de coletes gessados e de polipropileno e casos cirúrgicos”.
LIVRO – Durante os 56 dias que precisou ficar em Curitiba para o tratamento, a cirurgia e o processo de reabilitação, Joyce Rodrigues dos Santos resolveu contar a sua história em um livro. O primeiro exemplar foi entregue ao médico que possibilitou a cura. Hoje com 25 anos, desde os 14 ela procurava tratamento para a escoliose. Depois de ouvir diversas negativas, de que o seu caso não teria solução, ela foi encaminhada para o CHT, onde viu a esperança de poder ter uma vida normal.
“Eu vim de Londrina para cá com ótimas recomendações. Vim no dia 4 de junho de 2025. Pensei que sairia frustrada mais uma vez. Tinha ouvido 'não' a minha vida inteira. Quando cheguei, o doutor João disse que o meu caso era difícil, mas que não iria desistir porque gostava de desafios e sabia que daria certo. Saí daqui radiante, porque sabia que ia acontecer”, relembrou Joyce.
A cirurgia ocorreu no dia 28 de julho e uma segunda etapa em quatro de agosto. Desde então, Joyce viu a sua vida mudar. “Nasci com a escoliose e tinha muita dificuldade e limitações para caminhar e perda de movimento. Havia dias em que eu não levantava da cama. Quando saia de casa recebia olhares de julgamento das pessoas, que era o que mais me incomodava. Depois da cirurgia, posso dizer que eu tenho uma nova vida. Eu venci a batalha”, relatou.
Ela contou como surgiu a ideia do livro. “Eu estava ficando agoniada por não poder sair do hospital. O doutor João me deu a ideia de colocar em palavras tudo o que eu estava passando. Foi quando eu comecei a escrever. Coloquei toda a minha trajetória, desde a minha infância, a experiência de trabalho e a vivência no hospital. Fico feliz que a minha história possa inspirar mais pessoas a não desistirem”, concluiu.
DIAGNÓSTICO - A escoliose pode ter diferentes causas, sendo classificada em idiopática (sem causa definida), sindrômica (associadas a síndromes genéticas), neuromuscular (decorrente de doenças como paralisia cerebral e atrofia muscular espinhal) e congênita (presente desde o nascimento). Em todos os casos, o diagnóstico precoce e o acompanhamento especializado são fundamentais para determinar a melhor abordagem terapêutica.
O médico João Elias explica que a escoliose é um termo usado para quando você olha a coluna e percebe uma curvatura. Pode acontecer por várias causas, desde uma escoliose congênita, quando o bebê nasce com uma vértebra mal formada e essa vértebra vai levando ao desenvolvimento de uma deformidade na coluna; a neuromuscular, causadas por doenças neurológicas ou musculares, como uma paralisia cerebral, até as idiopáticas, causadas por alterações genéticas e que podem se desenvolver apenas na adolescência.
O médico destaca, ainda, que os pais devem ficar atentos às costas dos filhos, em especial nas meninas, que teêm mais predileção para a doença mais grave.
Segundo ele, o verão é o período em que mais se diagnostica a doença. Por causa do uso de roupas mais leves, é mais fácil notar a alteração na coluna. Caso seja percebida alguma alteração, uma avaliação ortopédica deve ser marcada. “O diagnóstico precoce é importante. Quando a gente percebe que a coluna está iniciando uma curvatura é possível controlar essa curva. Fazer o procedimento com uma curvatura menor permite melhores resultados na cirurgia”, explicou.
INVESTIMENTOS – Somente em 2025, o Hospital do Trabalhador recebeu R$ 40 milhões em investimentos. Em abril, foi inaugurado o Ambulatório Médico de Especialidades (AME). A unidade recebeu R$ 13 milhões em investimentos do Governo do Estado, por meio da Secretaria da Saúde, para ampliar a capacidade do hospital em realizar consultas de especialidades médicas para a população paranaense.
Em novembro, foi entregue a ampliação do Pronto-Socorro, sete novas ambulâncias, oito tomógrafos de impedância elétrica, quatro tomógrafos computadorizados, 350 camas eletrônicas e um moderno Centro de Simulação Realística do Paraná. Ao todo, foram investidos R$ 26,8 milhões.
Esses serviços e investimentos fizeram com que o CHT integrasse a lista dos 100 hospitais públicos mais bem avaliados do Brasil.
Fonte: Sesa


















